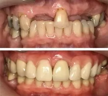
🔥 Имплантация за 3750 ₽/мес.
Образование
Участие в мероприятиях:
2013
«Практическая эндодонтия» Москва
2016
Учебный курс Секреты идеальной реставрации
2016
Практический курс Работа с конусно-лучевой компьютерной томограммой на профессиональном уровне
2017
Практические курсы - Эндодонтическое лечение зубов от А до Я, Цикл 1: Алгоритмы каждодневной эндодонтической практики
2019
Участие в семинаре Рентгенологические принципы диагностики в имплантологии Сердобинцев Е.В. Уфа.
2019
Учебный курс Straumann - Концептуальная имплантология: 7 шагов к успешной имплантации
2019
Мастер класс Straumann - Премиальная имплантация в эстетически значимой зоне
2019
Учебный курс. Горизонтальная и вертикальная аугментация. Собственный опыт: успехи и неудачи.
2019
Практический курс Работа на дентальном микроскопе
2019
Участие в семинаре Рентгенологические принципы диагностики в имплантологии Сердобинцев Е.В. Уфа.
2019
Учебный курс + мастер-класс в Гуанджоу (Китай) Dentium digital innovation
Повышение квалификации
2017
Сертификация - Имплантация зубов
2019
Учебный курс Композитные виниры и сложное восстановление фронтальных зубов (3- дн курс)
Сертификаты и лицензии

Прием в других клиниках

Похожие специалисты

Другие врачи рядом

Рейтинг и отзывы