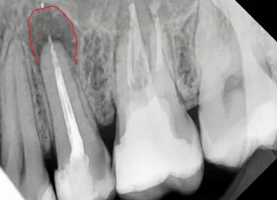
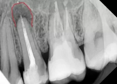
В стоматологическую клинику «Династия» я,как пациент попала, что называется по воле судьбы. Ехала на прием к одному врачу, а в итоге оказалась на приеме у другого врача. Зовут врача-стоматолога Копытенко Максим Александрович. Выражаю огромную благодарность врачу- стоматологу Максиму Александровичу- профессионалу своего дела за чуткий подход к пациенту, за отзывчивость и добро читать далее