
При недостаточной гигиене полости рта на зубах скапливается налет, который со временем затвердевает. Именно так образуется пресловутый зубной камень, который доставляет немало хлопот. Мало того, что он портит внешний вид зубов, так его появление чревато серьезными заболеваниями. В нашей статье мы расскажем доступно о том, чем он опасен, как он выглядит, как с ним бороться и в чем заключается профилактика его появления.
Содержание:
Зубной камень — это затвердевший налет, который образуется у взрослых и очень редко у детей, да и то при наличии в анамнезе таких серьезных заболеваний, как порок сердца или сахарный диабет. Обычно камни на зубах не образуются, если человек достаточно времени уделяет гигиеническим процедурам по удалению налета. Если не давать налету затвердеть, камни не смогут образоваться. Поэтому тщательная чистка зубов является лучшим средством профилактики.
Спровоцировать образование зубного камня может налет от чая и сигарет. Постоянное наличие на трудонодоступных поверхностях эмали такого налета неизбежно со временем приводит к образованию плотных отложений, в том числе и камней.
Зубной камень может возникнуть как на одном отдельно взятом, так и на нескольких зубах. Больше всего подвержены образованию камня нижние передние зубы, а также верхние и нижние моляры.
Признаки:
Зубной камень может образовываться не только на эмали, но и на коронках или протезах. Поэтому не следует расслабляться тем, у кого во рту нет своих зубов, а только протезы — на них точно так же, как и на поверхности эмали, может образоваться камень. Он, конечно же, не приведет к появлению кариеса на коронке, но может спровоцировать воспаление десны, а также существенно испортить внешний вид протезов.
Стоматологи различают два вида зубного камня — поддесневой и наддесневой, классификация основана на локализации затвердевших зубных отложений.
Поддесневой зубной камень коварен тем, что обнаружить его может только врач-стоматолог при помощи специального зонда, так как он скрыт от глаз краем десны, в пародонтальном кармане и плотно прилегает к корню. Цвет такого камня обычно темно-коричневый или зеленовато-черный, он чрезвычайно твердый и состоит преимущественно из фосфата кальция, фосфата магния и карбоната кальция. Если своевременно не удалить поддесневой камень, он может спровоцировать воспалительный процесс в периодонте и стать причиной возникновения пародонтита.
В отличие от поддесневого, наддесневой зубной камень можно диагностировать и самостоятельно, он выделяется на поверхности эмали своим желтоватым или коричневатым цветом и легко отделяется при помощи стоматологического экскаватора. Он обычно располагается выше гребня десневого края, поэтому его легко распознать. По плотности наддесневой камень намного мягче, чем поддесневой, так как относится к образованиям слюнного типа и состоит преимущественно из клеток эпителия, бактерий, слизи и остатков пищи. Если его своевременно не удалить, со временем затвердевший налет превращается в кариес.
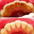
Внешне зубной камень выглядит как некрасивое темное пятно на внутренней или внешней поверхности зуба. Поначалу он довольно мягкий и имеет светлую беловатую окраску, но со временем он темнеет, разрастается и портит внешний вид зубов. Постепенно камень разрастается настолько сильно, что начинает травмировать край десны, провоцируя ее кровоточивость. В запущенной форме может даже спровоцировать появление гингивита.
По своему составу поддесневой и наддесневой зубной камень несколько отличаются друг от друга. Первый является более твердым и в нем преобладают фосфат кальция и магния, а также карбонат кальция. Второй же более мягкий по структуре, он образуется их налета, в котором довольно много клеток эпителия, бактерий, слизи, остатков пищи, которые связываются вязкой слюной.
Камень не возникает за одну ночь, его образование является длительным процессом, который начинается у краев десны и на шейке зуба. Именно эти участки являются самым любимым местом скапливания налета, болезнетворных бактерий и грибков.
Если у вас появились камни, причина может быть в следующем:
К сожалению, многие не считают зубной камень проблемой и не спешат обращаться к стоматологу. Если налет образовался на внутренней поверхности зубов, он незаметен при общении, и человек ошибочно полагает, что проблемы не существует. На самом деле, болезнь довольно опасна для здоровья зубов и десен. Начнем с того, что его расположение у самого края десны может со временем вызвать кровоточивость десен, способствовать образованию зубодесневого кармана, в котором будут скапливаться остатки пищи, вызывая воспалительные процессы в десне.
Если вовремя не удалить камень, последствия могут быть самыми плачевными, вплоть до потери зубов. Ведь зубные отложения — это прекрасная среда для размножения болезнетворных бактерий, в частности тех, что вызывают кариес.
Не будем вас запугивать — процесс образования зубного камня длительный, поэтому если систематически посещать стоматолога, можно своевременно избавиться от причины, не допустив осложнений. Считается, что для здоровья зубов следует, как минимум 2-3 раза в год производить процедуру профессиональной гигиены, в том числе и удаление зубных отложений. В этом случае вам удастся избежать таких неприятных последствий, как появление неприятного запаха изо рта, возникновение кариеса и воспалительных заболеваний десен.
Лечение камней заключается в их удалении, других методов лечения не существует. Иногда бывает, что зубной камень под воздействием твердой пищи сам удаляется с поверхности зубов, но надеяться на это не следует. Лучше своевременно обратиться к специалисту, который быстро и безболезненно удалит с поверхности эмали все зубные отложения.
Если раньше удаление зубного камня проводили механическим способом, то есть просто соскребали его с поверхности эмали, то сегодня существуют более современные и безболезненные методы удаления отложений. Среди них наиболее распространенными являются ультразвуковой, лазерный и химический методы чистки зубов.
При помощи ультразвукового метода стоматолог очень быстро и эффективно удалит все зубные отложения, не травмируя при этом ни десну, ни поверхность эмали.
При помощи химического метода удается размягчить даже очень твердые зубные отложения. Стоматолог наносит на поверхность камня кислотные и щелочные средства, которые быстро и эффективно растворяют все твердые отложения.
Лазерный метод очистки позволяет раздробить камень и удалить его с поверхности зуба.
Завершается процедура удаления зубного камня полировкой и шлифовкой эмали, в ходе которой зубы становятся блестящими, а их поверхность — гладкой.
Зубной камень и причины его появления должны заставить пациента пересмотреть свое отношение к гигиене полости рта, поскольку именно из-за недостаточной или неправильной чистки зубов на их поверхности образуются камни.
Очень важно чистить зубы дважды в день, утром и вечером. Но не менее важно делать это правильно, тщательно очищая от налета все поверхности зубов, включая труднодоступные. Систематическое использование нити позволяет максимально эффективно очистить именно труднодоступные межзубные пространства, в которых может скапливаться налет.
Стоматологи рекомендуют не экономить на качественных зубных пастах и щетках, так как именно от них зависит эффективность гигиенических процедур. Использование электрической щетки с различными насадками позволяет более тщательно очистить поверхность зубов от налета.
Также стоматологи рекомендуют хотя бы два раза в год проводить профессиональную чистку зубов, в ходе которой врач удалит все зубные отложения, которые могут со временем превратиться в камень.
Необходимо также потреблять твердую пищу, которая способствует самоочищению зубов от налета.