🔥 Имплантация за 3750 ₽/мес.

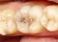
Кариес зубов

Статистика неумолима — практически каждый второй житель России страдает кариесом. Ведь здоровье зубов — вещь довольно обманчивая. На первый взгляд зуб кажется здоровым, не болит, не беспокоит. Однако опытный врач при тщательном осмотре может обнаружить на зубной эмали небольшое пятнышко, незаметное невооруженным глазом. Знакомьтесь: это и есть кариес зубов — самое распространенное и одновременно самое коварное заболевание зубов.

Автор статьи
стоматолог-терапевт, детский стоматолог, гигиенист, эндодонтист

Статьи о кариесе
38

Содержание:

Диагностика

Самостоятельно диагностировать кариес на начальной стадии практически невозможно, поэтому и установлена норма посещения стоматолога два раза в году. Именно во время профилактического осмотра опытный врач сможет вовремя заметить начинающиеся поражения зубов.

Диагностика осуществляется как при помощи визуального осмотра полости рта, так и с применением специального зонда для обнаружения небольших кариозных полостей на поверхности эмали. Для обнаружения кариеса на контактных поверхностях зубной эмали в скрытых от глаз местах, врач может направить пациента на рентгенологическое обследование.

Начинается кариес совершенно незаметно с образования на эмали небольшого светлого пятнышка, в этом месте зубная эмаль стала более рыхлой и уже не защищает зуб. На раннем этапе пациент не испытывает дискомфорта, зуб не болит, не реагирует на горячую или холодную пищу. Однако если не обратить на ранние симптомы внимания, то кариес может привести к полному разрушению зуба, который придется удалить.

Что мы знаем о кариесе?

Несмотря на то, что кариес является одним из самых распространенных заболеваний в стоматологии, большинство знает о нем очень мало. 

Возникает кариес чаще всего как следствие недостаточной гигиены полости рта. То есть, если не чистить зубы минимум два раза в день, то риск кариозных поражений увеличивается. Может спровоцировать возникновение кариеса и чрезмерное употребление сладкого.

Учитывая эти данные, можно сказать, что кариес — это, прежде всего, заболевание людей, которые употребляют много сладкого и недостаточно тщательно следят за гигиеной полости рта.

Причины возникновения

Кариес может возникнуть в любом возрасте, ведь и дети, и взрослые в одинаковой степени подвержены этому заболеванию.

Неправильное питание

Сладкоежки более подвержены развитию заболевания, чем те, кто употребляет сладкое в умеренном количестве.

Углеводы

Углеводы, которые человек получает одновременно с употреблением сладкого, являются отличным кормом для болезнетворных бактерий, которые очень быстро размножаются и в результате своей жизнедеятельности выделяют кислоту. А кислая среда превосходно подходит для возникновения и развития кариеса. В свою очередь, именно изменение кислотно-щелочного баланса в полости рта и является основной причиной возникновения кариеса.

Белки и витамины

Еще одной довольно важной причиной возникновения кариеса являются белковая недостаточность и нехватка витаминов. Поэтому важно правильно питаться, потребляя достаточное количество белковой пищи. Не менее важным является и употребление витаминов, особенно в зимний период, когда организму не хватает полезных веществ.

Лучшая защита — гигиена полости рта

Еще одной важной причиной возникновения заболевания является недостаточная гигиена полости рта. Если вовремя не почистить зубы, во рту начинают размножаться болезнетворные микробы и налет, в результате чего меняется кислотно-щелочной баланс.

Важность иммунитета организма

Стоматологи наблюдают активизацию кариеса после перенесенных общих заболеваний. Ведь любая болезнь ослабляет иммунитет человека, что, в свою очередь, способствует возникновению и развитию кариеса.

Степени развития

  • ранний, который получил название «кариозное пятно» («macula cariosa»),
  • поверхностный («caries superficialis»),
  • средний («caries media»),
  • поздний, который получил название «глубокий кариес» («caries profunda»).

На каждом этапе развития заболевание имеет свои симптомы и свои способы лечения.

Ранний на стадии кариозного пятна

Ранний кариес на стадии кариозного пятна, как правило, остается незамеченным пациентом. Ведь мало кто обратит внимание на появление небольшого белого пятнышка на зубной эмали, при этом пациент совершенно не испытывает дискомфорта. На самом деле, это маленькое пятнышко и есть самый настоящий кариес. И если его вовремя не лечить, можно потерять зуб.

Поверхностный

Имеет ярко выраженные симптомы. Пятно на зубной эмали становится бурым и шероховатым, а сам зуб — чувствительным. При употреблении горячей или холодной пищи зуб может реагировать острой болью, которая со временем утихает. Не следует обманывать себя — если зуб начал болью реагировать на прием пищи, необходимо срочно записаться на прием к стоматологу.

Средний

Наиболее распространен. Именно на этой стадии пациенты чаще всего и обращаются к врачу за помощью. На этой степени развития кариозная полость затрагивает не только зубную эмаль, но и дентин. Зуб становится чувствительным и реагирует болью не только на горячее или холодное, но и на прикосновение. Зачастую на этой стадии любой прием пищи превращается в болезненный процесс.

Глубокий

Поражается практически весь слой дентина больного зуба, а сам зуб становится хрупким и может полностью разрушиться. Лечится успешно, однако само лечение более длительное и часто включает в себя удаление зубного нерва. Самым неприятным осложнением глубокого кариеса является пульпит, или воспаление пульпы.

Кариес постоянных (коренных) зубов

Самый распространенный вид заболевания. Особенно подвержены подростки, ведь они в силу своего возраста еще не способны в достаточной степени контролировать состояние зубов, следить за гигиеной полости рта. Именно в подростковом возрасте кариес коренных зубов очень быстро переходит из одной стадии в другую, а также вызывает возникновение таких осложнений, как периодонтит и пульпит.

Общие заболевания человеческого организма, которые сопровождаются гормональными сдвигами, изменениями формулы крови могут спровоцировать возникновение острого кариеса. Он выражается в том, что одновременно поражаются десять и более зубов, а кариозные полости располагаются на передней поверхности зубов. Лечение острой формы заболевания невозможно без общего лечения организма, поэтому стоматолог может направить пациента к терапевту и посоветовать принимать препараты, содержащие кальций.

  • 18 января 2017, в 1:12 Проверенный отзыв

    Сильно шатается коренной зуб, есть кариес. Что делать?

  • Если очень сильно шатается, вот-вот выпадет, то лучше удалить. Если шатается чуть-чуть, возможно его лучше шинировать. Если же шатается еле заметно, то ничего делать не надо, лечите кариес.

  • 16 января 2016, в 20:44 Проверенный отзыв
    Были у стоматолога, врач поставил диагноз — кариес на задних коренных зубах в форме креста. А другой сказал, что все в порядке и это естественное потемнение в пространствах зуба от еды. Так как тогда определить?
  • Скорее всего — это глубокий кариес. Обратитесь к врачу и немедленно лечите зубы. В противном случае скоро придётся удалять нервы.
  • 21 ноября 2015, в 16:42 Проверенный отзыв
    Мне пару лет назад сказали, что у меня кариес. В этом году образовался пульпит. А моему парню 4 года назад сказали, что кариес, но у него он до сих пор не развивается, и зуб не болит. Я чищу зубы два раза в день, а он ― один, сладкое едим одинаково. Почему так?
  • У разных людей абсолютно разные зубы и плотность эмали, так же микрофлора, и в целом организм, поэтому данное сравнение нецелесообразно.