🔥 Имплантация за 3750 ₽/мес.

О клинике

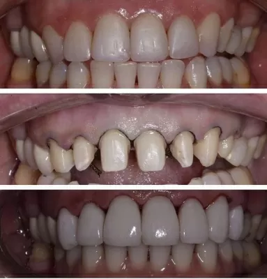
Стоматологическая клиника Мир Улыбок в Люберцах владеет всем необходимым для реализации и успешного проведения самого разнообразного и сложного лечения. Коллектив клиники сложен из специалистов, одновременно владеющих основными видами специализаций, за исключением таких узких специальностей, как детская стоматология, ортодонтия, имплантология. Этим занимаются отдельные врачи. Стоматология Мир Улыбок имеет множество преимуществ, среди которых: бесплатная подготовка пакета документов для возвр...
Показать еще

Похожие клиники

Клиники рядом

Цены на услуги

Бесплатная консультация
Звоните, мы работаем
+7 (800) 250-21-19
Перезвоним через минуту!
Нажимая кнопку, Вы разрешаете обработку персональных данных и соглашаетесь с политикой конфиденциальности