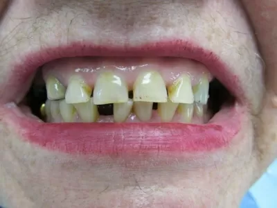
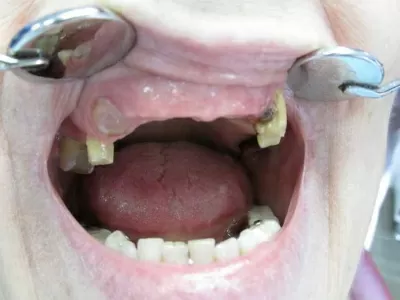
Доля абсурда. В ходе постановки виниров, выяснилось, что цена на винир в этой стоматологии идёт без учета слепков, подготовки зубов и работы врача! Как будто возможно поставить винир без слепка или врача. При этом сумма не согласовывается с пациентом перед началом работы, а потом выясняется, что ты должен заплатить суммы, о которых никто не предупреждал, не согласовывал и кот читать далее