Я несколько раз посетила стоматологическую клинику «Сити Стом» на улице Фатыха Амирхана. Здесь меня проконсультировали и сделал рентген. На приеме был очень внимательный специалист, который дал мне совет снять коронки. Более того, подробно все рассказал и объяснил. Персонал — внимательный и вежливый. Везде очень чисто и аккуратно.
Добрый день, Валентина! Спасибо за отзыв. Мы рады, что Вы остались довольны подробной консультацией специалиста и приветливым отношением персонала. Ваши добрые слова – лучшая похвала для каждого из нас. Обращайтесь, если потребуется, всегда окажем квалифицированную помощь. С уважением, администрация стоматологической клиники Сити Стом.
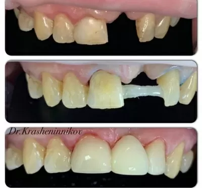
В стоматологическую клинику Сити Стом я обратилась впервые, выбрала ее по хорошим отзывам в интернете. Приходила на консультацию стоматолога-ортопеда Алексея Евгеньевича Крашенинникова. Мне он, как доктор, понравился. Врач провел консультацию, ответил на все мои вопросы и дал необходимые рекомендации. Во время консультации врач был в перчатках, маске и, на мой взгляд, рабочее читать далее
Добрый день, Вера! Благодарим Вас за обратную связь. Приятно узнать, что Вы остались довольны подробной консультацией специалиста. Обязательно передадим Алексею Евгеньевичу Ваши добрые слова. Обращайтесь, если потребуется, мы всегда к Вашим услугам. С наилучшими пожеланиями, администрация стоматологической клиники Сити Стом.
Я уже несколько раз посещала стоматологическую клинику «Сити Стом» на улице Фатыха Амирхана. Мне понравился врач-стоматолог. Очень хороший и грамотный. Оперативно и быстро вылечил мне зуб. На данный момент проблема отсутствует, с которой я обратилась. Персонал — спокойный и грамотный. На все вопросы мои ответил. Мне было здесь комфортно и уютно. В случаи необходимости буду об читать далее
Добрый день, Регина! Спасибо за отзыв. Искренне рады, что Вы остались довольны грамотной работой и подробной консультацией стоматолога. Обращайтесь, если потребуется, всегда окажем квалифицированную помощь. С уважением, администрация стоматологической клиники Сити Стом.