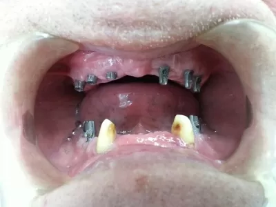
Менир Сагадетдинов (Москва) Прежде всего огромное спасибо от всего сердца врачам: Аллуш Татьяне Сергеевне и Тареку.Честно я первый раз пишу отзыв. Многие наверное удивляются, что из Москвы. Мне надо было 6 имплантов и металлокерамику 7 штук поставить. Даже с переездами за пол года я остался в плюсе.Спасибо большое за человеческое отношение и теплоту приема! Мне конечно посове читать далее
Разделяю мнение людей, оставивших здесь негативные отзывы и оставлю свою историю, чтобы уберечь вас, казанцы, от посещения данной клиники! Записалась на профессиональную чистку зубов на Эсперанто. Первым звоночком было то, что придя точно к назначенному времени, была вынуждена минут 20 сидеть и ждать непонятно чего. Не прошло и получаса, как меня пригласил-таки в кабинет ну о читать далее
ставила там брекет-систему. Первый год было все хорошо, процесс шел. Пока ортодонт — Аллуш Аднан Бурханович- не сказал: будем готовиться к снятию. У меня глаза на лоб полезли: какое снятие, у меня еще конь не валялся, внизу скученность, верх тоже не идеал. Он посмотрел, согласился на продолжение лечения, в итоге юольше чем за полгода не изменилось ничего! Хочу рассказать, как читать далее